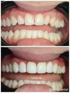
Transformation Tuesday ?

For more information about our treatments or to book an appointment please don’t hesitate to call us on (02) 4946 9122