Build-ups in a day
Background: This patient had significant tooth loss as a result of wear— the irregular edges of his teeth resulting in an aged look as well as contributing to problems chewing food. The patient had good home care and almost all of the tooth loss was due to wear / erosion. The patient is in his seventies and did not want a complex treatment plan— or the associated expense with a complex treatment plan.
Solution: Build-ups in a day. Using a close match of resin to the patient’s natural tooth colour—we could build up all of the upper and lower front teeth in a day. This solution was a completely additive process—the patient had already lost a significant amount of tooth structure to wear—conserving what tooth was left resulted in a simpler, more conservative and stronger result. To durably restore such wear, it is necessary to change the bite so that sufficient thickness of material may be placed for strength and cosmetics. Changing the bite means that it can be difficult to spread treatment and most patients prefer to come in for one day and largely complete the process of transformation.
Why this solution? Cost effectiveness, simplicity and the ability to repair and renew the treatment if required were all in our plans during the decision making process.
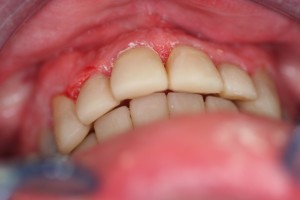
Background: This patient presented with numerous broken teeth/fillings and moderate wear on all of his teeth. This patient wanted better looking teeth, as well as improved function; cosmetics was important but not everything. A thorough cleaning of all teeth and then teeth whitening was conducted prior to the commencement of treatment.
Solution: In one day, we firstly built up all of the lower front teeth to the correct length. Then in the afternoon, we replaced all of the fillings in the top front teeth, also lengthening the top teeth to correct the cosmetic deficiencies. There was a change in his bite which we accommodated with resin stents on the back teeth—at a later date, we came back and replaced the resin stents with fillings at the correct bite (all Belle Dental CRCs).












