Gaps in your Smile (Closing Spaces)
We can close spaces between the teeth for an even smile.
Crowding, i.e. lack of space, can be fixed with orthodontics. Gaps and excess space can be fixed with “additive” procedures – treatments that add to the teeth to close the spaces.
People who have gaps in their smile fall into a number of categories
People who love their gap
People who have gaps in their smile and are happy about the spaces that they have – Madonna is a very typical example. Madonna likes the space between her two front teeth and has gone to lengths with her dental care to maintain this space. The opinion from the observer’s point of view is also divided with many people who like the space between people’s front teeth. This sort of gap is known as a diastema.
People who want to fix their gaps
People who have gaps in their smile and don’t want any spaces. Here at Belle Dental, we can close the spaces, but the objective is to close the spaces evenly and not make the teeth look out of proportion with regard to height and width. If we are to make teeth wider, it is often necessary to increase the height of the crown of the teeth to compensate for the increase in width – thus keeping the teeth in proportion.
People who only want to minimise the gaps
Some people don’t necessarily want to eliminate the space. A classic example of this is someone who has a relatively large space between the top front teeth and a somewhat smaller space between the lower front teeth. If the gap between the lower front teeth is not a concern to this individual, it may be better (from a cosmetic/consistency standpoint) to close the space slightly on the top teeth to match the space on the lower front teeth.
People with irregular gaps
Irregular spaces are the most difficult to fix, and usually the most cosmetically detrimental. There are generally two different reasons for irregular gaps:
- A space has closed up, so that a tooth on one side of the smile needs to be smaller (or rotated) in order to fit into the space left for it.
- All the teeth are shifted to one side or the other. In both cases, the midline of the top teeth and bottom teeth usually doesn’t correspond. If the midline is ‘off’ by less than 2mm, the midline shift is usually not noticeable (often the individual with the midline shift is not aware of it). As the midline shift becomes more than 2mm, the shift becomes more noticeable to both the individual with the midline shift as well as those looking at the smile. Usually, the gold standard of care in either of the two situations outlined above is orthodontic treatment with braces or an alternative. This kind of tooth movement will even out the spacing of the teeth, thus allowing us to place veneers evenly on the teeth to close the remaining spaces. If orthodontics is not an option, then some grinding away of tooth is necessary to ‘shuffle’ the teeth in the desired direction and undo some of the crowding. This is obviously the least desirable option as it requires removal of some healthy tooth structure. It’s important to remember that once a tooth or part of a tooth is lost, it never grows back which is why we will always recommend composite veneers before ceramic veneers, which have a higher biological cost.
Gappy smile case studies by Dr Huszti
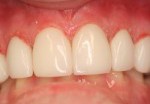
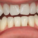
Example 1 – Elimination of a large space between the top front teeth
This lady was concerned about the colour of her teeth (photos show the after-bleaching result!) and the large space between her top front teeth. Some ‘shuffling’ (i.e. grinding of the teeth to even up spaces) was required in order to create a symmetrical smile. The space was a very large space which we closed at the incisal edges. The space at gum level remains and is near impossible to close without some form of orthodontics. If we close this space at gum level, the gum tends to become inflamed and swollen.
- Before
- After
Example 2 – Closing, but not eliminating the space between front teeth
This is a classic example of someone with spaces between the top front teeth and a much smaller space between the lower front teeth. This individual was not concerned about the space between the lower front teeth but definitely wanted something done with the top front teeth. We decided to close the space between the top front teeth to match the space between the lower front teeth. The mirroring of the space between the top and bottom lower front teeth created a harmonious and symmetrical smile. I feel that if we were to completely close the space between the top front teeth, the dentistry would look artificial without closing the space between the lowers.
- Before
- After
Example 3 – Orthodontist can’t help
This teenager visited an orthodontist, who could not do anything as there was no crowding – in fact there was a lack of teeth causing the gaps. Because the teeth were already evenly spaced, there was no need to correct any tooth positions. The spaces were closed in one appointment with direct resin veneers. This was a classic case of Low (or in this case, zero) Biological Cost Dentistry as we would never remove any tooth structure in a 14 year old. To read more about Low Biological Cost Dentistry please click here.
- Before
- After
Example 4 – Just close this space
This patient consulted our practice about closing the space between the lower front teeth. We completed this with the simple addition of composite resin to the teeth on either side of the space. This kept the teeth symmetrical, all with zero biological cost.
- Before
- After











