Teeth Whitening Newcastle
Find out how Belle Dental does teeth whitening.
Teeth whitening, although it has recently gained popularity, has been available for over 20 years. The techniques and materials have been refined to improve results, as well as increase speed and decrease sensitivity.
How does teeth whitening work?
Essentially, teeth whitening involves the placement of a peroxide against the tooth surface which is absorbed by the tooth. The peroxide molecules interact with stains in the tooth, resulting in the breaking down and liberation of stains and a pearly white smile.
For best results, the teeth should be professionally cleaned and polished prior to commencement of any bleaching therapies.
Essentially there are two main forms of teeth whitening in use:
Home whitening
This is the application of a peroxide gel to the teeth using custom formed splints that accurately fit against upper and lower teeth. The peroxide gel may be applied during sleep, once a day for a set period (during the day) or twice a day for a set period – depending on the system used.
In-office whitening
This technique involves the carefully controlled application of bleaching agents to the teeth in a surgery setting, followed by a short period of home whitening – usually 3-4 days.
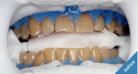
In-office Teeth Whitening Before and After
- Before
- After
The results from both in-office and home whitening are exactly the same. The only difference being the amount of effort required once you leave the office.
Note: Belle Dental advises all patients to cease smoking during the teeth whitening process.
Factors that apply to teeth whitening
Coloured food, drink and consumables
Any coloured substance that you eat, drink or consume can stain your teeth. It’s best to remember that if it can stain a white shirt, it can stain your teeth. The duration of contact, frequency of contact and intensity of colour all affect the degree to which coloured substances stain the teeth.
Coloured food substances include
| Tea | Coffee | Cola Drinks |
| Soy Sauce | Coloured Pasta Sauces | Artichokes |
| Spinach | Cigarettes | Black Currant Juice |
| Beetroot | Some Asthma Inhalers | Red Wine! |
A note from Dr Huszti
Instead of suggesting boycotting all of these foods, it’s best to remember that you are here on earth to enjoy yourself and to aim for balance. I am not suggesting you abstain from medications – I am merely pointing out some of the substances that stain your teeth.
Use of whitening toothpastes and over the counter whitening kits
Use of whitening toothpastes and over the counter whitening kits, in our experience, does not have a significant whitening effect on teeth. However, it appears that whitening toothpastes do have a protective effect against staining, i.e. if you use a whitening toothpaste, the rate at which your teeth will discolour will be significantly slowed.
Tetracycline staining
Tetracyclines are a form of antibiotic that can cause significant tooth staining. If tetracyclines are administered at the time of tooth formation (ages 1 ½ – 12 years), these antibiotics can be incorporated into the forming tooth structure, resulting in a greyish/brownish staining that can vary in intensity from very mild right up to quite severe dark brown staining. Our experience has been that this type of staining generally responds poorly to any form of teeth whitening. Teeth whitening with this type of staining needs to be approached on a case by case basis.
Fluorosis
Fluorosis is the mottled brown and opaque white staining we see on teeth associated with larger doses of fluoride during the formative stages of the teeth. Some patients are concerned about the appearance of fluorosis, but from a functional perspective, these teeth are actually more resistant to decay than teeth that do not exhibit this characteristic.
Fluorosis removal before and after
- Before
- After
How fluorosis is treated
If fluorosis is a cosmetic concern for you, it is possible to treat this condition and achieve partial or often complete reversion to normal tooth appearance. Please call us if this concerns you as there are a number of conservative options that fall under our minimally invasive dentistry options.
How to get started on whitening
So that we may best advise you regarding your whitening options, it is best to make an appointment for an examination and a clean. Your teeth should be cleaned before commencement of teeth whitening – we can also take impressions at this appointment so you can get straight onto your whitening at the next visit. We can also include whitening as part of your comprehensive treatment plan, which should also include regular cleaning.
Give yourself the Brighter Whiter Smile you’ve always dreamed of!
Our in-office whitening is currently only $688
In-Office Teeth Whitening – 2 hours to your new whiter smile!
- Before
- After
EXPRESS Smile Makeovers in just TWO hours!
Why take 3 weeks to get a whitening result? Belle Dental in Newcastle is offering a 2 hour in-office procedure for the Special Offer price of $625.
We use a high quality, proven teeth whitening product. The treatment includes the teeth whitening procedure, making of custom trays for home application of top-up whitening (3-4 nights), use of agents to seal in whitening results as well as maintenance instructions.
Some patients may require a thorough cleaning prior to the use of teeth whitening agents. A thorough cleaning will ensure proper penetration of the teeth whitening agents as well as the ability to assess the real whitening results. At Belle Dental, we recommend any cleaning appointments be conducted prior to the whitening appointment – as this minimises the risk of sensitivity. All patients should expect some sensitivity during and after the whitening process. It has been anecdotally noted that sensitivity is often linked to a good whitening result.
Please note that teeth whitening does not affect the colour of any restorations – if you have crowns, veneers or fillings on your front teeth (in your visible smile), these will not whiten. Only natural teeth can be whitened with this treatment.
DISCOUNT OFFER – ADD ON TO YOUR WHITENING SERVICE
If you are seeking a more complete solution, Belle Dental can conduct an examination, two x-rays, a through basic clean, formulation and discussion with you of a written treatment plan for the total fee of $250. In this way, whitening can be used as a lead-in to any other dental treatments you may desire. At Belle Dental, you will also see the same Newcastle dentist at every appointment, so your dentist will always know the history and future possibilities of your smile.
Looking for teeth whitening in Newcastle? Belle Dental can help!
Furthermore, your trusted dentist also encourages you to cease smoking so that you will definitely get the white, bright smile that you desire.









