Cosmetic Dentistry Newcastle
Your smile can give away a lot of information about you – including your age.
Many communications experts will explain the importance of a smile, as 85% of our focus is shifted between the eyes and mouth of the person we are communicating with. It is no wonder that a bright, white, youthful smile can truly make us look and seem younger to the people we come into contact with every day. Because of this, Belle Dental is the best choice as your cosmetic dentist and we offer affordable cosmetic dentistry treatments have the potential to alter your everyday life.
Your smile has an impact on your life and Belle Dental is happy to offer modern solutions to your cosmetic dental issues. Which treatments are on your wish list?
Wear – the incisal line
Over time, our smiles become aged by environmental and dietary factors such as the grinding of teeth while we sleep (which all people do to one degree or another) and grit in the diet (more typical with people who live in desert communities). Typically, a youthful smile shows very little wear as shown in fig 1. In the photo, it is evident that the two central incisor teeth are longer than the adjacent lateral incisor teeth with the canine (eye) teeth either coming down to the level of the central incisor teeth OR stepping up further again to create a nice evenly curved ‘smile line’, as in the image below.
- Before
- After
This is only one aspect of a youthful smile – we can create youthful smiles with a flat smile line as shown in figure 3. Because the teeth are white, the shape of the upper teeth, and ultimately the smile, is framed above by the lips and gums and below by the contrast of the darkness in the mouth behind the teeth. In this example, we can initially see a ‘reverse’ smile line which has been corrected with veneers.
Wear – the incisal edge
- Before
- After
Wear can happen two ways:
(1) on the incisal edge of the tooth – resulting in a shorter tooth or
(2) on the inside surface of the tooth (the surface in direct contact with the tongue) resulting in thinning of the tooth. These photos demonstrate how thin incisal edges typically show chipping.
The after image shows how this can be solved by changing the bite and making the incisal edges stronger. This process is almost purely an “additive” process (no loss of tooth) and therefore this is not only conservative dentistry – but truly affordable and effective cosmetic dentistry.
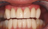
The size of your teeth matters
- Before
- After
Next time you pick up a magazine, look at the smiles of the models in the magazine. Look more specifically at the size of the teeth on the models in the magazine.
Because wear happens slowly, we don’t notice that our teeth are getting shorter – not until they are significantly shorter. Typically, a youthful upper central incisor tooth is approximately 11mm tall by 9mm wide and there are many young patients that have incisors that are larger than this.
When a cosmetic dentist makes a smile appear more youthful, they will resize the teeth appropriately, maintaining proportions, closer to the size commonly seen in younger individuals (see before and after smile makeover – above – showing change in size).
Improving your bite
The bite is the relationship between the upper and lower teeth, i.e. how they come together to cut and chew food. We aim to create a bite relationship between upper and lower teeth where the upper teeth are somewhat forward and over the front of the lower teeth. This is the most favourable relationship with regards to most cosmetic options. It also reduces future wear on the teeth and protects the back of the teeth against adverse loading.
In some cases where there is extreme discrepancy between upper and lower jaws or a very difficult bite, we may recommend a consultation with an orthodontist to assess whether orthodontics (braces) prior to cosmetic treatments would lead to a better outcome.










